Código de ética médica
Código de ética DEBERES DE LOS MÉDICOS EN GENERAL EL MEDICO DEBE mantener siempre el más alto nivel de conducta profesional. EL MEDICO NO DEBE permitir que motivos de ganancia influyan el ejercicio libre e independiente de su juicio profesional de sus pacientes. EL MEDICO DEBE, en todos los tipos de práctica médica, dedicarse a proporcionar un…
Cáncer de mama – BI-RADS v2025 – Novedades
El sistema BI-RADS (Breast Imaging Reporting and Data System), desarrollado por el American College of Radiology (ACR) a comienzos de la década del 90, es el estándar internacional para la interpretación y el reporte de imágenes mamarias. Surgió inicialmente para mamografía y fue incorporando la ecografía y la resonancia magnética (RMN) en ediciones sucesivas. La…
Raymond Damadian y la invención de la resonancia magnética
La historia de los inventos y los avances científicos se trata más de una evolución del conocimiento que de una invención o de un hecho puntual, dado que a esos inventos se llega porque antes alguien ha avanzado en otra cosa. Esto hace que atribuir un invento a una sola persona pueda sonar injusto muchas…
Diccionario médico online
En la práctica cotidiana de la medicina muchas veces tenemos dudas sobre términos médicos, sobre ciertos conceptos y palabras, y siendo médicos radiólogos no somos la excepción a esta regla, por eso queremos hoy compartir con ustedes una herramienta sumamente útil para la práctica cotidiana de cualquier médico, residente, estudiante de medicina, radiólogo, especialista. En…
Hombro: Clasificación de las lesiones SLAP
Lesiones del labrum superior anteroposterior (SLAP) y sus variantes. Caracterización y clasificación de las lesiones. ¿Qué es el labrum glenoideo? El labrum glenoideo es un anillo fibrocartilaginoso que rodea el borde de la cavidad glenoidea de la escápula. Su función principal es aumentar la profundidad y la estabilidad de la articulación glenohumeral. Entre sus características…
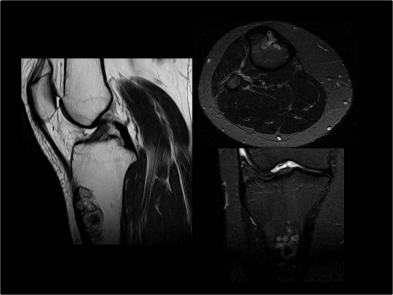
Lesiones meniscales | Repaso anatómico y clasificación de las lesiones
Cuando hablamos de meniscos de la rodilla, estamos hablando de una estructura cuyas lesiones son responsables de un alto porcentaje de los estudios de rodilla que se piden en la práctica cotidiana. Ya sea porque se sospecha una lesión, porque han sido intervenidos quirúrgicamente o porque acompañan la lesión de otras estructuras, las lesiones meniscales…
Cáncer de próstata en RM y PI-RADS
Avances en el diagnóstico del cáncer de próstata El cáncer de próstata es una patología muy frecuente en el ámbito clínico, siendo una de las neoplasias más frecuentes en hombres (la segunda neoplasia más frecuente en hombres en Estados Unidos en 2025 según cancer.org). Por lo tanto, son muchos los pacientes con esta patología, o…
Anatomía para radiólogos
La anatomía del cuerpo humano resulta en un conocimiento de base para los radiólogos, técnicos y médicos radiólogos necesitan un conocimiento exhaustivo de la anatomía para poder comprender las imágenes que realizan y analizan a diario. Pocas disciplinas son tan relevantes para los radiólogos en general como la anatomía, dado que el reconocimiento de la…
Las poleas de los dedos de las manos y sus lesiones
Las manos son estructuras sumamente complejas de la anatomía osteoarticular del cuerpo humano. Dentro de la mano, los dedos merecen esta vez nuestra especial atención, ya que un sinnúmero de lesiones de diversos deportes afectan a los dedos y sus estructuras. De todas estas estructuras y lesiones, queremos dedicar una especial atención a las poleas…
Parámetros normales en la radiografía de tórax
Radiografía de tórax simple: parámetros normales La radiografía de tórax simple o teleradiografía de tórax es una de las prácticas radiológicas más extendidas y realizadas desde que la radiología se ha puesto en uso. Se toman radiografías de tórax para controles de rutina, para estudios prelaborales, para screening general de la patología de tórax, entre otros…
Las lesiones del fibrocartílago triangular: descripción y clasificación
Complejo fibrocartílago triangular: descripción y clasificación de las lesiones El complejo fibrocartílago triangular (su nombre en inglés: triangular fibrocartilage complex), conocido por su sigla CFCT, es una compleja estructura tanto desde el punto de vista anatómico como funcional-biomecánico. Las lesiones de esta estructura constituyen una causa frecuente de dolor en la región cubital…